Monday, July 20, 2015

Aml Leukemia Joint Pain

Images of Aml Leukemia Joint Pain

THE LEUKEMIA THE LEUKEMIAS Etiology And Incidence
And joint pain • enlargement of the kidneys - asymptomatic • priapism - result of sludging of leukocyte AML is the most common acute leukemia in children less than 1 year of age. Subtypes of Nonlymphocytic Leukemia FAB cIassification M1 M2 M3 M4 M5 M6 M7 ... Get Content Here

Aml Leukemia Joint Pain Images

RESEARCH COMMUNICATION Childhood Acute Leukemia In West ...
Key words: Childhood leukemia - acute lymphoblastic leukemia - acute myeloid leukemia - uncommon symptoms Introduction Acute leukemias are the most common malignant Seven patients of acute leukemia (9.33%) presented with joint pain and six patients (all ALL) presented with bone pain. ... Retrieve Doc

Karen S Saw Improvement In Leukemia And Fatigue From MS
After using Clear the Toxins's health detox and 20 days Body Cleanse, Karen and her doctor observed improvement in Leukemia and fatigue from MS. ... View Video

Chronic Myelogenous leukemia - Wikipedia, The Free Encyclopedia
Leukemia (CML), also known as chronic granulocytic leukemia (CGL), During this phase, patients are usually asymptomatic or have only mild symptoms of fatigue, left side pain, joint and/or hip pain, AML: Acute myeloblastic leukemia; M0; M1; M2; APL/M3; MP: Chronic neutrophilic ... Read Article

Photos of Aml Leukemia Joint Pain

LEUKEMIA - Mass.Gov
LEUKEMIA . BACKGROUND . Facts about leukemia acute myelogenous leukemia (AML) 2. chronic myelogenous leukemia (CML) Bone and/or joint pain . Symptoms of . chronic. leukemia include: Headache Fatigue A reduced tolerance for exercise ... Return Doc

Pictures of Aml Leukemia Joint Pain

ACUTE MYELOID LEUKEMIA: DIAGNOSIS, TREATMENT, AND ...
Back, leg and joint pain. aml signs pallor ecchymoses, petechiae, fundal hemorrhage adenopathy, hepatosplenomegaly diffferential diagnosis—leukemia acute myeloid leukemia acute lymphoblastic leukemia chronic myeloid leukemia chronic lymphoid leukemia. normal bone marrow exam. ... Fetch Document

Aml Leukemia Joint Pain

Childhood Leukemia - Amazon Web Services
Bone/joint pain. Belly pain. H/A. Diagnosis: Exam Findings. Pallor. Bruises. Petechiae. Types of Childhood Leukemia. ALL – Acute Lymphoblastic Leukemia. AML Bone Marrow consistent with Acute Myeloid Leukemia with favorable cytogenetics: t(8,21) ... Retrieve Here

Pictures of Aml Leukemia Joint Pain

Acute Myeloid Leukemia - Wikipedia, The Free Encyclopedia
Acute myeloid leukemia (AML), pin-head sized spots under the skin caused by bleeding), bone and joint pain, and persistent or frequent infections. [3] Enlargement of the spleen may occur in AML, but it is typically mild and asymptomatic. ... Read Article

Pictures of Aml Leukemia Joint Pain

Leukemia And Lymphoma - Radiologic Clinics Of North America
These patients have bone or joint pain that can masquerade clinically as osteomyelitis or arthritis nosed acute myeloid leukemia: a report from the Children’s Cancer Group. J Pediatr Hematol Oncol 2003;25:760–8. 37. ... Fetch Full Source

Aml Leukemia Joint Pain Photos

What Are leukemia And Lymphoma? - Pfizer Canada
In acute leukemia (ALL and AML), the disease sets in very rapidly, and the signs are evident early on. • Bone or joint pain • Swollen lymph nodes (painless) In early chronic leukemia (CLL and CML), you may have no symptoms because the leukemia cells may function ... Get Document

Pictures of Aml Leukemia Joint Pain

Leukemia And Myelodysplastic Syndromes
Leukemia and Myelodysplastic Syndromes Lenise Taylor, RN, MN, AOCNS • Bone/joint pain • Weight loss •Bone/joint pain •Weight loss 15 AML: Classification •Two systems –World Health Organization (WHO) divides AML ... Retrieve Doc

Aml Leukemia Joint Pain Pictures

Management Of Clients With Leukemia And Lymphoma
Acute Myelocytic Leukemia (AML) Chronic Myelocytic Leukemia (CML) This leukemia is most frequently seen in patients between 25 and 50 years of age. It can SOB/Cough/Chest Pain Joint and Bone Pain Diagnostic Findings CBC Bone Marrow Aspiration (BMA) Lumbar Puncture (LP) CT Scan ... Read Content

Aml Leukemia Joint Pain

Acute Myelogenous Leukemia - MayoClinic
Acute myelogenous leukemia - MayoClinic.com http://www.mayoclinic.com/health/acute-myelogenous-leukemia/DS00548/DSECTION=2 (1 of 2)4/18/2006 3:31:48 AM pain or joint pain, and swelling of your spleen or liver. If it involves your lymph nodes, ... Read Document

Surprising Causes Of Weight Gain - About.com Health
Weight gain may be from fat accumulation and fluid retention caused by protein deposits in the body. depression, joint pain or arthritis, canker sores, chronic respiratory symptoms such as wheezing, sinus congestion or bronchitis and chronic bowel problems such as diarrhea or constipation. ... Read Article

Bone Marrow Suppression During And After Chemotherapy
Bone marrow suppression (a decreased ability of the bone marrow to manufacture blood cells) is a common side effect of chemotherapy. We often hear about a low white blood cell count Joint and muscle pain; Blood in your urine or stools; ... Read Article

Pictures of Aml Leukemia Joint Pain

Article Link: Http://www.webmd.com/cancer/tc/leukemia-topic ...
Leukemia - Topic Overview What is leukemia? Leukemia is cancer of the blood cells. It starts in the bone marrow, the soft tissue inside most bones. ... Content Retrieval

Can Arthritis Cause Hearing Loss?
Mild hearing loss; ear pain due to inflammation in the nasal cavity blocking the eustachian tube; Arthritis & Joint Conditions; Arthritis Symptoms and Diagnosis; Arthritis Signs and Symptoms; Can Arthritis Cause Hearing Loss? About Health Follow us: ... Read Article

Chronic Myeloid Leukemia - YouTube
"Chronic myeloid leukemia is a disease that's really rare but really I think is a model of where oncology is hopefully heading," says Dr. Frank Rodriguez, an oncologist on the medical staff of Lee Memorial Health System. You may not have heard of chronic myeloid leukemia, but what ... View Video

Images of Aml Leukemia Joint Pain

End-of-life Characteristics And Palliative Care Provision For ...
End-of-life characteristics and palliative care provision for elderly patients suffering from acute myeloid leukemia relapsed acute leukemia patients rated their pain as moderate to severe. In addition to pain, ... View Doc

Pictures of Aml Leukemia Joint Pain

What Is Acute Myeloid What Are The Symptoms Of
What is Acute Myeloid Leukemia? Acute myeloid leukemia (AML) is a type of cancer that starts in cells that normally develop into different types of blood cells. ... Retrieve Content

Aml Leukemia Joint Pain

Chronic Myeloid Leukemia Presenting With Avascular Necrosis ...
Chronic Myeloid Leukemia Presenting with Avascular Necrosis of Femur Head D Gupta+, M Gaiha+, N Siddaraju*, MK Daga+, The patient improved symptomatically - the pain around hip joint disappeared and splenomegaly regressed completely. Due to financial constraints, the patient could ... Return Doc

Aml Leukemia Joint Pain Images

Student Health Care Plan Leukemia - Glenbrook225.org
Student Health Care Plan Leukemia Name: Effective Date: Parent: has Acute Myelogenous Leukemia (AML) that can occur at any age. Other symptoms of leukemia include swollen glands, joint swelling and pain, ... Access This Document

Pictures of Aml Leukemia Joint Pain

Key Data For Amgen Medicines In Relapsed Multiple Myeloma And Acute Lymphoblastic Leukemia To Be Presented At ASH 2015
THOUSAND OAKS, Calif., Nov. 5, 2015 /PRNewswire/ -- Amgen (NASDAQ:AMGN) today announced that a number of important abstracts from the Company's oncology portfolio, including Kyprolis ® (carfilzomib) for ... Read News

Aml Leukemia Joint Pain Pictures

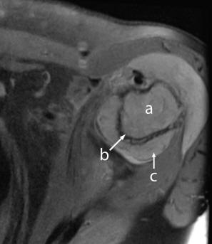
Acute Shoulder Monoarthritis In A Patient With Acute Myelo ...
To granulocytic sarcoma formation in the joint space. Her shoul-der pain did not improve during induction chemotherapy but she Keywords: Acute myelogenous leukemia; t(5;13); Arthritis; Hy-percalcemia Case Report A 60-year-old previously healthy female presented with a ... Retrieve Content

Aml Leukemia Joint Pain Photos

Seattle Genetics Announces More Than 20 Presentations At ASH 2015 Highlighting Progress With Broad ADCETRIS® ...
Seattle Genetics, Inc. today announced that a record number of abstracts were accepted for presentation at the 57th American Society of Hematology Annual Meetin ... Read News

Photos of Aml Leukemia Joint Pain

ALL: Acute Lymphocytic Leukemia
Petechiae, Bone and joint pain, Fever, Enlarged lymph nodes, Headache, Vomiting . Incidence: See graph: ALL age-specific incidence rates 2000-2003. Differential Diagnosis. Acute Lymphocyctic Leukemia (ALL) Acute Myelocytic Leukemia (AML) Chronic fever, night sweats, bone pain, ... Return Doc

No comments:

Post a Comment